8 (3952) 48-55-85

Телефон для справок       

Блог о стоматологии для пациентов Perle Clinic

Доступная и понятная стоматология. О стоматологических заболеваниях и методах лечения зубов. Советы специалистов. Ответы на вопросы.

Популярные статьи

Что такое имплантант?

Что такое имплантант?

Какие проблемы решает?

Синус-лифтинг

Синус-лифтинг

Показания к синус-лифтингу.

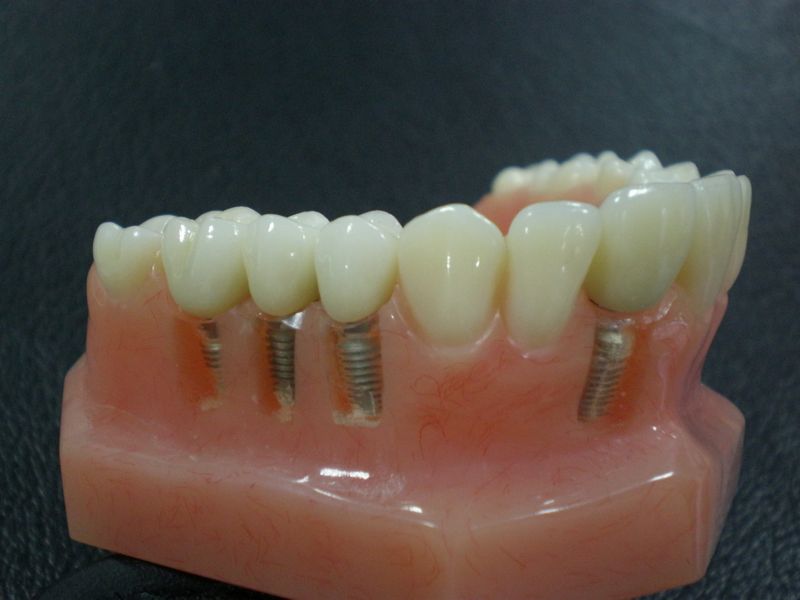
Протезирование зубов

Протезирование зубов

Методы протезирования.

Восстановление коронковой части разрушенного зуба в Иркутске

Ортопедия

Восстановление зубов.

Методы лечения кариеса без боли, страха и применения бормашины

Кариес

Лечения кариеса без боли.

Эстетическая реставрация зубов винирами: преимущества и недостатки

Виниры

Преимущества и недостатки.

Какую зубную щетку для зубных протезов выбрать?

Щетка для протезов

Как правильно выбрать?

 как научить чистить зубы малышу

Советы родителям

Как научить чистить зубы.

протезирование передних зубов

Протезирование

Передние зубы

показания и противопоказания к удалению молочных зубов

Молочные зубы

Показания к удалению

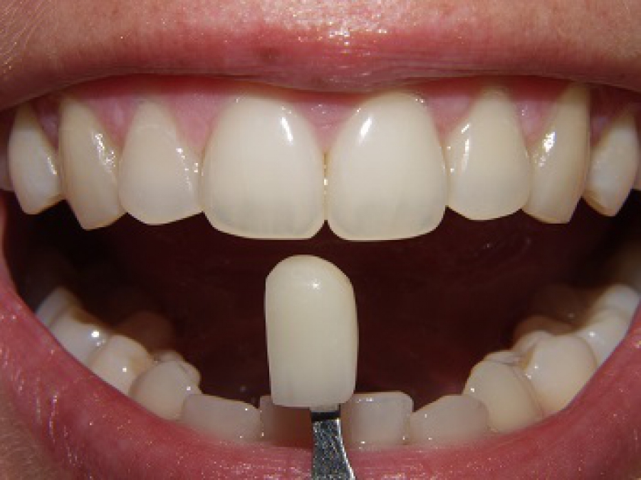
Отбеливание зубов. Виды отбеливания.

Отбеливание зубов

Виды отбеливания

Акция для новых клиентов нашей клиники

Полное обследование всего за 1000 рублей!

Не видя - нельзя давать рекомендаций. Необходимо пройти обследование. При помощи 3D-томографа получаем четкие трехмерные снимки, на которых видим, что происходит снаружи и внутри челюсти. Благодаря этому ставим точный диагноз и составляем правильный план лечения.

Что входит в обследование

① ЛУЧЕВОЕ ИССЛЕДОВАНИЕ ЗУБОВ (РЕНТГЕН)

② ЗАПОЛНЕНИЕ КАРТЫ ЗДОРОВЬЯ

③ ПОДБОР ВАРИАНТОВ ЛЕЧЕНИЯ

Лицензия № ЛО-38-01-001726 от 6 марта 2014 года Свидетельство о государственной регистрации 1123850036309 ООО "Клиника имплантологии и стоматологии "Приоритет".